Υπάρχουν άνθρωποι που όταν έχουν ερωτικές ορέξεις, δεν γνωρίζουν όρια και πολλές φορές θέτουν τον εαυτό τους σε κίνδυνο.
Κάπως έτσι λοιπόν γιατροί σε διάφορα νοσοκομεία, έχουν βρεθεί μπροστά σε όχι και τόσο άνετες καταστάσεις όπου καλούνται να αφαιρέσουν από το σώμα τους, διάφορα τρελά και περίεργα αντικείμενα...
Το radiopedia.org συγκέντρωσε τις πιο χαρακτηριστικές περιπτώσεις...
1. Ένα μπουκάλι Αεροζόλ...

4. Μία μεταλλική θήκη πούρου

5. Ένα μπουκάλι

6. Ένα βαζάκι από αυτά που βάζουμε καφέ

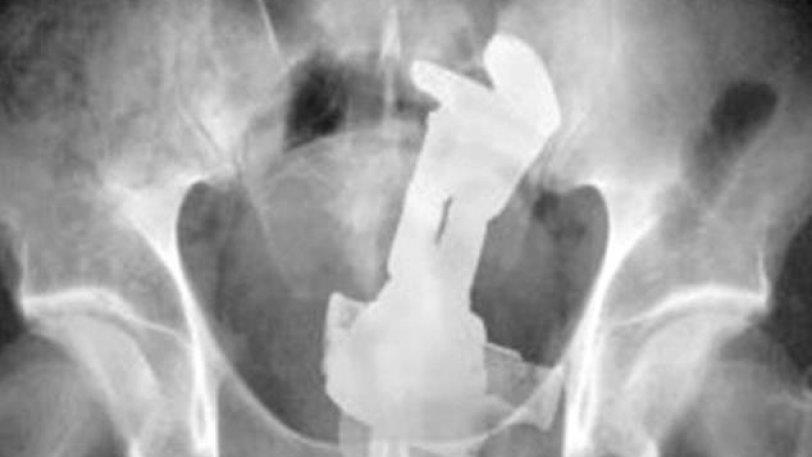
7. Ένα ερωτικό βοήθημα
10. Ένα αυγό
Κάπως έτσι λοιπόν γιατροί σε διάφορα νοσοκομεία, έχουν βρεθεί μπροστά σε όχι και τόσο άνετες καταστάσεις όπου καλούνται να αφαιρέσουν από το σώμα τους, διάφορα τρελά και περίεργα αντικείμενα...
Το radiopedia.org συγκέντρωσε τις πιο χαρακτηριστικές περιπτώσεις...
1. Ένα μπουκάλι Αεροζόλ...

2. Έναν πρωταγωνιστή από το Toy Story, τον Buzz Lightyear

3. Ένα ζαχαρωτό...

4. Μία μεταλλική θήκη πούρου

5. Ένα μπουκάλι

6. Ένα βαζάκι από αυτά που βάζουμε καφέ

7. Ένα ερωτικό βοήθημα

8. Ένα μπουκαλάκι αρώματος deoderant

9. Ένα μπουκάλι ποτού

10. Ένα αυγό












